Epicondilite - Dott. Damiano Rullo

Vai ai contenuti
L'epicondilite , più diffusamente nota come  “Gomito del tennista”, è un’espressione che viene comunemente utilizzata per indicare un disturbo a carico del gomito dovuto alla degenerazione di un tendine alla sua inserzione ossea sull’epicondilo omerale (piccola sporgenza ossea terminale dell’omero che si trova nel gomito). Questa condizione, che provoca dolore anche molto intenso, è una conseguenza del sovraccarico tendineo dovuto a una continua sollecitazione dei muscoli epicondiloidei (quei muscoli, cioè, che permettono l’estensione del polso e delle dita della mano). È un disturbo molto comune che in Italia riguarda dall’1% al 3% della popolazione. La fascia di età più colpita è quella tra i 25 e i 60 anni.


L’epicondilite è una sindrome dolorosa localizzata all’epicondilo laterale (ovvero sull’esterno del gomito), spesso secondaria il più delle volte a una serie di microtraumi ripetuti che si sono verificati a livello dei tendini dei muscoli estensori del polso e della mano, in corrispondenza della loro inserzione prossimale sull’epicondilo, con conseguente degenerazione tendinea: ecco perché rientra nelle tendinopatie inserzionali.
Ipersollecitazioni muscolari eccentriche e ripetute intervengono nello sviluppo dell’epicondilite laterale. Anche lo svolgimento di attività inusuali per il paziente, oltre a una sindrome da ipersollecitazione possono rappresentare fattori determinanti nella genesi di tale patologia. Questo può avvenire per lavoro o per sport; proprio per questo viene comunemente chiamata gomito del tennista.
L’iperutilizzo e l’ipersollecitazione  determinano un cosiddetto “sovraccarico funzionale”.
Quando invece questo fastidioso dolore si presenta sul versante interno del gomito si parla di epitrocleite o di epicondilite mediale. In tal caso invece saranno interessati i muscoli dei tendini flessori del carpo e della mano. L’epitrocleite è invece piu tipica dei golfisti per via del loro gesto atletico che tende a sovraccaricare più i muscoli flessori del carpo. Per questo viene comunemente chiamata gomito del golfista.

Questa patologia  interessa i muscoli e i tendini dell' avambraccio che quando funzionano contraendosi, estendono il polso e le dita. Questi tendini si inseriscono all'epicondilo. Il tendine che più comunemente è coinvolto nel gomito del tennista è chiamato Estensore Radiale Breve del Carpo (ERBC).Recenti studi dimostrano che il gomito del tennista è spesso causato dal danno ad uno specifico muscolo dell'avambraccio: il muscolo Estensore Radiale Breve del Carpo (ERBC) che aiuta a stabilizzare il polso quando il gomito è diritto. Questo si verifica per esempio durante un diritto oppure un rovescio nel gioco del tennis. Quando il ERBC è indebolito da un uso eccessivo, si formano lesioni microscopiche nel tendine dove esso si inserisce all'epicondilo. Questo porta ad infiammazione e dolore. In determinate posizioni il ERBC può essere ad aumentato rischio di danneggiarsi. Quando il gomito si flette e poi si estende, ad esempio, il muscolo sfrega contro le sporgenze ossee. Questo nel tempo può causare progressiva usura del muscolo.

Gli atleti non sono le uniche persone che possono soffrire di gomito del tennista. Molte persone affette da  epicondilite svolgono attività di lavoro o ricreative che richiedono l'uso ripetitivo e vigoroso dei muscoli dell'avambraccio. Pittori, idraulici e falegnami sono particolarmente inclini ad ammalarsi di epicondilite; con loro anche dattilografe, orologiai e decoratori. Studi scientifici hanno dimostrato che anche i meccanici, i cuochi o i macellai si ammalano di epicondilite più spesso rispetto al resto della popolazione. Si pensa che il sollevamento di pesi che si effettua ripetutamente in questi tipi di lavoro provochi le microlesioni tendinee che poi porteranno ad ammalarsi di epicondilite.
Nel caso degli sportivi, sono interessati a questa patologia anche schermidori, paraticanti dello squash e body builder,lanciatori del giavellotto o del disco; nel caso dei tennisti compare più frequentemente tra i dilettanti che non tra i professionisti anche se giocano per svariate ore al giorno.
Questo è dovuto probabilmente allo scorretto movimento tecnico del dilettante, all'uso di racchette con caratteristiche strutturali inadeguate,alla errata dimensione del manico della racchetta o alla errata tensione delle corde
L’epicondilite è caratterizzata da diversi segni e sintomi specifici che possono essere riferiti dai pazienti durante la visita o osservati dal professionista durante lo svolgimento dell’esame clinico obiettivo. La caratteristica principale è il dolore al gomito, localizzato sull’epicondilo laterale dell’omero, di lieve o media intensità, percepito talvolta anche con il braccio a riposo. Questo ha un esordio graduale e insidioso (anche se in alcuni casi potrebbe presentarsi all’improvviso) e può irradiarsi lungo l’avambraccio o può estendersi anche prossimalmente al gomito, verso il polso e nella parte posteriore della mano. Il grado di dolore è diverso da paziente a paziente e può variare da lieve e intermittente fino a grave e persistente, influenzando significativamente la vita dei pazienti e compromettendo tutte le attività di vita quotidiana.

Solitamente, tale dolore è presente o può essere aggravato durante lo svolgimento di diverse attività che richiedono l’estensione del polso sotto resistenza (come ad esempio afferrare oggetti, aprire un barattolo, girare una chiave, suonare il pianoforte, scrivere a macchina o al pc o strizzare una asciugamano) e spesso può presentarsi di notte, interrompendo o disturbando il sonno del soggetto. Inoltre, può essere riprodotto dalla palpazione sull’epicondilo laterale da parte del professionista. I normali movimenti del gomito sia attivi che passivi, generalmente, sono preservati (anche in alcuni casi più gravi). I pazienti spesso lamentano anche debolezza nella presa e difficoltà nel sollevamento dei pesi, con un notevole impatto negativo sulle prestazioni sportive, sulle attività lavorative e su quelle della vita quotidiana.
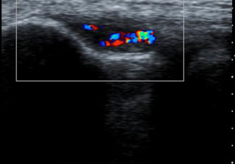
eco-aumento vascolarizzazione
Per diagnosticare correttamente l'epicondilite il medico palpa il paziente, cerca eventuali tumefazioni locali, lo interroga sull'entità del dolore, la professione svolta e sugli sport praticati.Per confermare la diagnosi, chiede inoltre al paziente di eseguire determinati movimenti (flettere e allungare il polso, le dita e ruotare l’avambraccio), mantenendo il gomito dritto, mentre il medico oppone resistenza. La presenza di dolore durante questi movimenti indica la presenza di epicondilite.
Alcune volte, però, quando ad esempio il caso in questione risulta dubbio o poco chiaro potrebbe essere necessario integrare la valutazione attraverso esami strumentali per confermare la propria ipotesi diagnostica o escludere altre condizioni patologiche. Potrebbero essere indicate, ad esempio:

  • Radiografia: per valutare la presenza di eventuali lesioni e patologie ossee. A volte possono mostrare lievi calcificazioni dei tessuti molli nei pazienti con epicondilite.
  • Ecografia: può mostrare cambiamenti strutturali che interessano i tendini (come ad esempio ispessimento, assottigliamento, aree degenerative, lesioni e/o calcificazioni, grado di vascolarizzazione dei tessuti).
  • Risonanza magnetica: fornisce maggiori informazioni sulle possibili patologie intra-articolari. Spesso, però, i risultati osservati tramite tale imaging non solo collegabili alla sintomatologia del paziente e sono di frequente osservati anche in molti soggetti sani ed asintomatici. In generale, quindi, gli esami strumentali possono essere di supporto ma non devono mai sostituire l’esame clinico nella diagnosi.
Terapia dell' epicondilite

Terapia Conservativa

Il gomito del tennista è una condizione autolimitante; ciò significa che tende alla guarigione spontanea con il riposo. Tuttavia, il dolore può durare diverse settimane o mesi ed in tal caso alcuni trattamenti possono aiutare ad alleviare i sintomi e ad accelerare il recupero. Il trattamento convenzionale (non chirurgico) risulta avere successo in circa l'80-95% dei pazienti.
Il dolore associato al gomito del tennista dura, in genere, da sei a dodici settimane. Tuttavia, in alcune persone, il dolore può colpire il braccio per meno di tre settimane, mentre in altri pazienti il disturbo può essere persistente (da sei mesi a due anni). L'epicondilite, se non trattata adeguatamente, può recidivare o cronicizzare.
Il primo passo verso la guarigione consiste nel riposo del braccio colpito durante il periodo in cui l'infiammazione è in fase acuta. Inoltre, è fondamentale cercare di evitare per diverse settimane l'attività che ha provocato l'insorgenza del problema e che potrebbe ulteriormente aggravare il disturbo. Le applicazioni locali di un impacco freddo da porre contro il gomito per pochi minuti, più volte al giorno, possono contribuire a lenire il dolore e a ridurre il processo infiammatorio. L'uso di un tutore a fascia diurno può ridurre il carico dei tendini sull'epicondilo laterale.
L'assunzione di antidolorifici, come il paracetamolo, può contribuire ad alleviare il dolore lieve causato dal gomito del tennista. Il medico può anche consigliare l'utilizzo di farmaci anti-infiammatori non steroidei (FANS), come l'ibuprofene o il ketoprofene, da assumere per via sistemica o sono disponibili anche come creme e gel da applicare a livello topico.
La fisioterapia può essere raccomandata se il gomito del tennista è più grave o persistente. Le tecniche di terapia manuale, come il massaggio e altre manipolazioni, possono aiutare ad alleviare il dolore e la rigidità dell'articolazione. Inoltre, il fisioterapista è in grado di mostrare al paziente gli esercizi specifici per mantenere il braccio in movimento e rafforzare i muscoli dell'avambraccio. Nel breve termine, potrebbe essere anche raccomandato l'utilizzo di un bendaggio di supporto o di un tutore, che impediscono i movimenti dolorosi, garantiscono il riposo dell'arto e alleviano i sintomi del gomito del tennista.
Talvolta, per il trattamento di forme particolarmente dolorose possono essere considerate delle iniezioni di corticosteroidi (infiltrazioni), che possono aiutare a ridurre il dolore, ma l'evidenza clinica che sostiene il loro utilizzo come trattamento efficace nel lungo termine è limitata.L'iniezione viene effettuata direttamente nella zona dolorosa a livello del gomito, previa somministrazione di un anestetico locale. Ancora possono essere impiegati cicli di tecarterapia, laserterapia, ultrasuoni in acqua.
Infine, se i sintomi non migliorano dopo almeno un anno di terapia conservativa, possono essere presi in considerazione trattamenti invasivi, come la chirurgia.

.
Se i sintomi non rispondono dopo 6 - 12 mesi di trattamenti convenzionali, il medico può raccomandare un intervento chirurgico.
La maggior parte delle procedure per il gomito del tennista può comportare:

  • La rimozione della parte di tessuto danneggiata, per alleviare i sintomi dolorosi;
  • La disinserzione parziale dei tendini estensori del polso e delle dita;
  • La scarificazione con cruentazione locale dell'epicondilo (a livello dell'inserzione dei muscoli infiammati): parte dell'osso viene sottoposto a perforazioni multiple per garantire un aumentato apporto ematico che favorisce la guarigione

L'approccio chirurgico adatto al paziente dipende da una serie di fattori, che includono la gravità del danno, le caratteristiche fisiche dell'individuo e le sue condizioni di salute generali. Il trattamento chirurgico può essere effettuato a cielo aperto oppure per via artroscopica. Entrambi gli interventi chirurgici sono eseguiti in day hospital e raramente richiedono il pernottamento in ospedale.
Il paziente riacquista subito la mobilità delle dita e può riprendere le attività più leggere.
Dopo un paio di settimane dall'intervento si effettua un controllo ambulatoriale per rimuovere i punti di sutura e la stecca, osservando la ripresa del recupero funzionale.È opportuno astenersi dai carichi più pesanti per almeno altre quattro-sei settimane, rispettando i tempi biologici di guarigione, seguendo le indicazioni del chirurgo e del fisioterapista.Per ottenere risultati efficaci e definitivi è necessario un ciclo di fisioterapia specifica post-operatoria, volta a ridurre l'edema, al graduale recupero del movimento e, nella fase finale, al recupero della forza muscolare.
| Copyright © 2022 Ing. Guglielmo Albanese
Torna ai contenuti